WhatsApp

Cuidado • Proximidade • Resultados naturais

EXCELÊNCIA EM CADA SORRISO

Sobre a Clínica

Excelência clínica com proximidade humana!

Seja bem-vindo à ValClinic!

 

Aqui, pode encontrar mais informações sobre os nossos serviços, os nossos profissionais e a nossa clínica.

 

Na ValClinic, encontra os melhores profissionais na área de Medicina Dentária, Medicina Estética, Nutrição e Psicologia.

 

A nossa missão é proporcionar um conjunto de cuidados de saúde de excelência, focado na sinergia do trabalho multidisciplinar de diferentes áreas, oferecendo aos pacientes um acompanhamento especializado e individual.

 

Venha conhecer-nos!

Serviços

Conheça os nossos serviços

Garantimos qualidade e cuidado em cada detalhe.

Diretora Clinica

Dra. Liliana

A Drª Liliana Pires é fundadora e Diretora Clínica da ValClinic em Valença. Mestre em Medicina Dentária e dedicada especialmente à área de Ortodontia, com Mestrado em Ortodontia e Cirurgia Ortognática na Universidade de Medicina do Porto. Conta ainda com diversas formações realizadas ao longo dos anos e várias apresentações em congressos nacionais e internacionais.

 

Com mais de 10 anos de experiência de prática clínica, sentiu a necessidade de criar o seu próprio espaço, onde pudesse aplicar a sua filosofia de trabalho e todo o conhecimento que foi adquirindo ao longo dos anos.

 

A sua abordagem multidisciplinar com foco na saúde e bem estar do paciente é a filosofia base da nossa clínica e os princípios que seguimos todos os dias.

Equipa

Profissionais dedicados ao seu bem‑estar

Copy…

Pronto para transformar o seu sorriso?

Excelência Inovação Proximidade

Resultados

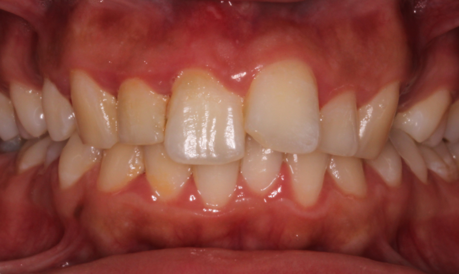
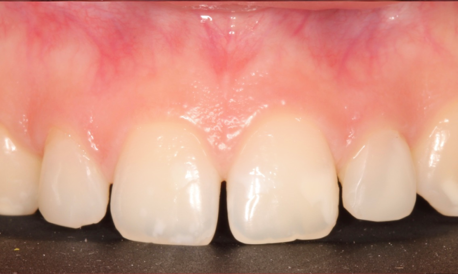
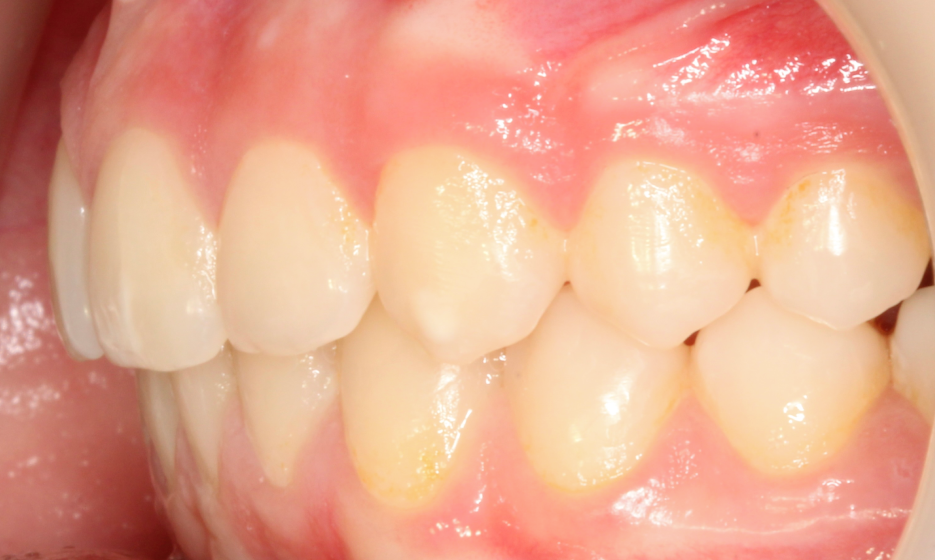
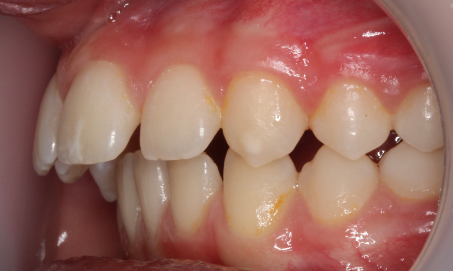
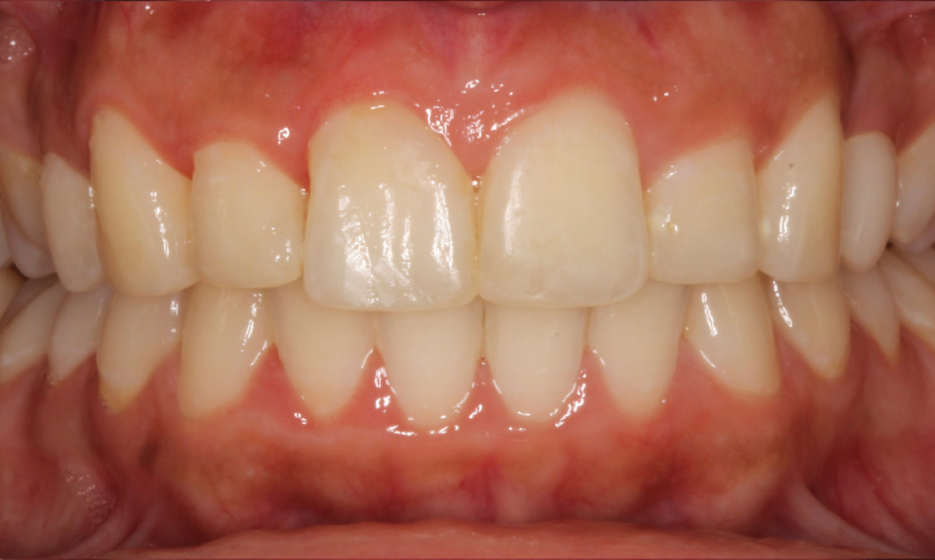
Antes & Depois

Contactos

Estamos perto de si

Como podemos ajudar?

Respondemos em menos de 24h úteis.

FAQ

Perguntas Frequentes

Tudo o que precisa de saber antes da sua visita.

Pode encontrar diversos lugares de estacionamento gratuitos na periferia do edifício Val Flores.

A nossa clínica fica no centro comercial Val Flores, em Valença, em pleno centro da cidade.
Pode marcar a sua consulta através da nossa página web, por chamada ou mensagem telefónica, WhatsApp ou e-mail.
Sim. Em caso de dor ou desconforto, iremos atendê-lo o mais rapidamente possível, mesmo sem marcação prévia.

© 2025 ValClinic Todos os direitos reservados - Desenvolvido por Wavely